2025/10/20


このミランテ1台で、患者さんの目の状態を詳細にしかも非侵襲的に検査することが可能です。できる検査も多岐にわたっています。
・眼底カラー写真
4Kの高解像度な広角カラーSLOを用いて、視神経や黄斑部などの狭角撮影はもちろん、網膜の端の方まで散瞳しない状態で広角に撮影することができます。糖尿病網膜症の患者さんなどは、散瞳しなくても眼底の状態を調べることができます。車での来院も可能です。今後、まったく散瞳しなくてもいいというわけではありませんが、かなりその頻度は減らせると思います。


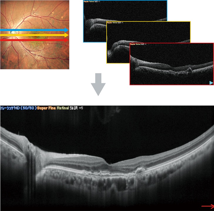
・光干渉断層計(OCT)
黄斑部網膜の断層撮影することによって浮腫、新生血管、網膜剥離を詳細に捉えることができます。網膜疾患の診断はもとより経過観察にも大変有用な検査です。網膜神経線維層の菲薄化の検出に優れており、緑内障の早期発見にも大変有用です。特に近視の強い方は緑内障のリスクが高いのですが、ごく早期の異常所見を検出できるプログラムが内蔵されています。速やかに16.5×12mmの広範囲の撮影が可能です。
主な対象疾患は、加齢黄斑変性、嚢胞様黄斑浮腫、黄斑円孔、黄斑上膜、緑内障、などに有用です。


・光干渉断層血管撮影(OCTA)
上述のOCTを用いて、非侵襲的に網膜血管、脈絡膜血管を描出することができます。造影剤を使用しないので、造影剤によるアレルギーや副作用の恐れもなく速やかに検査ができます。主な対象疾患は、加齢黄斑変性、網膜静脈閉塞症、糖尿病網膜症などです。



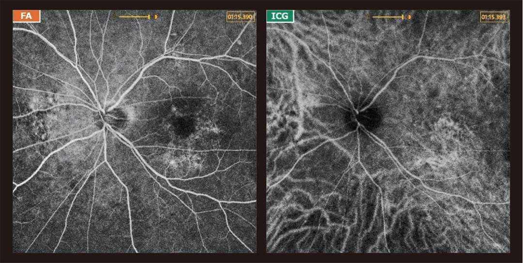
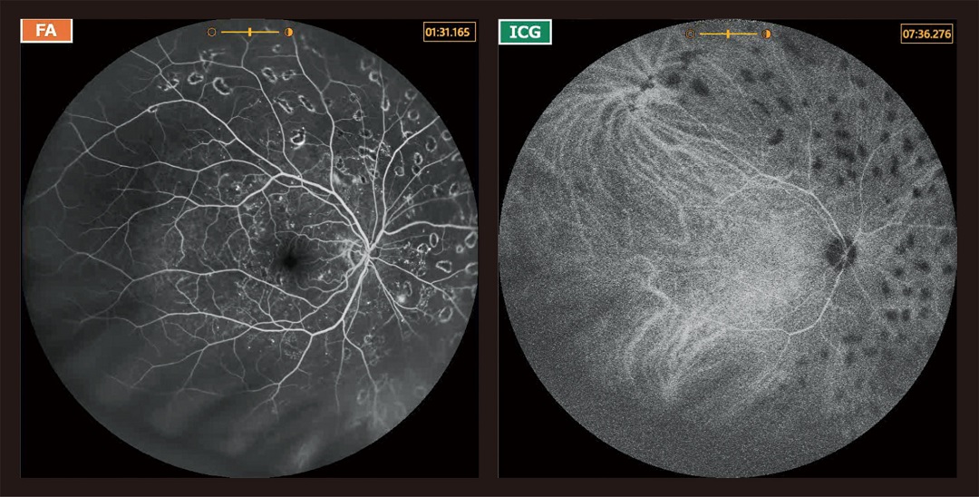
・蛍光眼底造影検査(FA/IA)
フルオレセインやインドシアニングリーンという造影剤を使って眼底の網膜血管や脈絡膜血管を撮影する検査です。OCTAではとらえられない微細な病変や血管炎や蛍光漏出点を描出できます。広角での検査が可能ですので網膜周辺部の病変まで捉えることができます。このミランテは2つの造影剤を使って2種類の造影検査を同時に行うことができます。主な対象疾患は、加齢黄斑変性、網膜静脈閉塞症、糖尿病網膜症などです。


・眼底自発蛍光
2つの波長で網膜色素上皮における自発蛍光(造影剤を使わない)を発するリポフスチン(老廃物)を観察し網膜色素上皮の非侵襲で検査できます。主な対象疾患は、加齢黄斑変性、網膜色素変性症などです。


・前眼部OCT
角膜や前房や虹彩や隅角の断層像の観察が非侵襲で可能です。
円錐角膜、角膜移植後の経過観察、急性緑内障発作の診断補助に有用です。


